Caz reabilitare implanto-protetica

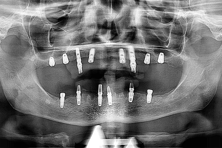
Pacient in varsta de 68 ani, s-a prezentat in clinica noastra cu cerinta stricta de a avea o lucrare fixa desi era edentat subtotal,  iar dintii restanti aveau indicatie de extractie. I s-a propus ca plan de tratament o protezare fixa pe implanturi. Planul de tratament a inclus 8 implanturi la maxilar si 6 la mandibula care vor fi finalizate prin lucrari protetice insurubate din zirconiu. Pana la finalizarea lucrarilor definitive, pentru realizarea unor lucrari echilibrate ocluzal i s-a propus si realizat temporizare prin lucrari de PMMA.

Share:

Str. Gheorghe Rostogolea nr. 1

Bucuresti, Sector 6

Program

L-V: 08:00 – 21:00
Sambata: 08:30 - 16:00
Duminica: Inchis

Formular de Contact

Call Now Button021.413.00.15