Caz reabilitare orala complexa pentru pierdere osoasa majora in sens vertical

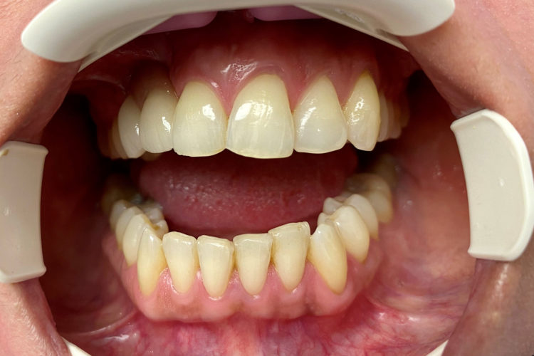
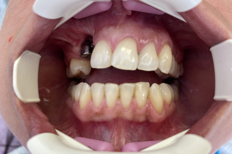
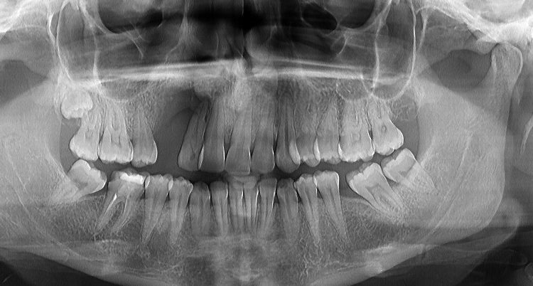
Pacienta in varsta de 39 de ani, a venit in clinica cu pierdere osoasa majora la maxilar in urma unei extractii de canin inclus si pierderea dintelui invecinat. Dupa o interventie de aditie osoasa, pacienta a primit  2 implante DENTIUM pe care s-a efectuat o protezare fizionomica fixa (baza titan plus suprastructura insurubata de zirconiu), cu refacerea conturului gingival si restaurarea functionala a arcadei. Pacientei i s-a propus si redresarea ortodontica pe care a amanat-o pentru o data ulterioara.

Share:

Str. Gheorghe Rostogolea nr. 1

Bucuresti, Sector 6

Program

L-V: 08:00 – 21:00
Sambata: 08:30 - 16:00
Duminica: Inchis

Formular de Contact

Call Now Button021.413.00.15