Caz reabilitare orala complexa

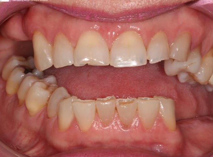
Pacienta in varsta de 52 de ani s-a prezentat in clinica noastra aflandu-se in cursul unui tratament implanto-protetic inceput in alta clinica. Pentru realizarea unor lucrari echilibrate ocluzal i s-a propus si realizat temporizare prin lucrari de PMMA (foto 3 si 4). Dupa 6 luni  s-au  realizat lucrari definitive din ceramica pe zirconiu (foto 5-10).

Share:

Str. Gheorghe Rostogolea nr. 1

Bucuresti, Sector 6

Program

L-V: 08:00 – 21:00
Sambata: 08:30 - 16:00
Duminica: Inchis

Formular de Contact

Call Now Button021.413.00.15