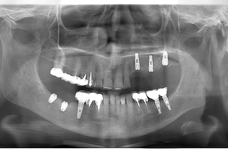
Pacienta in varsta de 74 ani s-a prezentat in clinica pentru reabilitare orala complexa si estetica. Planul de tratament a inclus implanturi Dentium, lucrari insurubate pe implanturi, fatete si coroane din hibrid
Pacienta in varsta de 74 ani s-a prezentat in clinica pentru reabilitare orala complexa si estetica. Planul de tratament a inclus implanturi Dentium, lucrari insurubate pe implanturi, fatete si coroane din hibrid
Va asteptam la Plaza Dent, in Sectorul 6, pentru a va oferi tratamente stomatologice premium, alaturi de o echipa de medici cu experienta, in conditii de exceptie, cu echipamente de ultima generatie.
Copyright © 2014-2021 PlazaDent. Toate drepturile rezervate. SITE PROMOVAT DE ALLPROWEB